TRIM62 Polyclonal Antibody (E-AB-16921)
For research use only.
| Verified Samples |
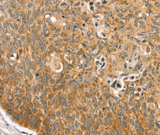
Verified Samples in WB: 231, HepG2 Verified Samples in IHC: Human liver cancer, Human esophagus cancer |
| Dilution | WB 1:500-1:2000, IHC 1:25-1:100 |
| Isotype | IgG |
| Host | Rabbit |
| Reactivity | Human |
| Applications | WB, IHC |
| Clonality | Polyclonal |
| Immunogen | Synthetic peptide of human TRIM62 |
| Abbre | TRIM62 |
| Synonyms | 6330414G21Rik, AI450348, DEAR1, E3 ubiquitin-protein ligase TRIM62, FLJ10759, FLJ16558 , MGC115263, TRI62, TRIM62, Tripartite motif containing 62, Tripartite motif-containing protein 62, ductal epithelium-associated RING Chromosome 1 |
| Swissprot | |
| Calculated MW | 54 kDa |
| Cellular Localization | Cytoplasm. |
| Concentration | 0.2 mg/mL |
| Buffer | Phosphate buffered solution, pH 7.4, containing 0.05% stabilizer and 50% glycerol. |
| Purification Method | Affinity purification |
| Research Areas | Cell biology |
| Conjugation | Unconjugated |
| Storage | Store at -20°C Valid for 12 months. Avoid freeze / thaw cycles. |
| Shipping | The product is shipped with ice pack,upon receipt,store it immediately at the temperature recommended. |
| background | TRIM62 (tripartite motif-containing 62) is a 475 amino acid protein that belongs to the TRIM/RBCC (Ring finger, B box, coiled-coil) family.TRIM62 contains one B box-type zinc finger, one SPRY domain and one RING-type zinc finger; a motif that has zinc-chelating activity and is involved in mediating protein-protein and protein-DNA interactions.As a member of the TRIM/RBCC family, TRIM62 may function in transcriptional regulation, cell transformation and carcinogenesis.In addition, TRIM62 expression can affect the entry of murine leukemia virus (MLV) and human immunodeficiency virus 1 (HIV). |
Other Clones
{{antibodyDetailsPage.numTotal}} Results
-
{{item.title}}
Citations ({{item.publications_count}}) Manual MSDS
Cat.No.:{{item.cat}}
{{index}} {{goods_show_value}}
Other Formats
{{formatDetailsPage.numTotal}} Results
Unconjugated
-
{{item.title}}
Citations ({{item.publications_count}}) Manual MSDS
Cat.No.:{{item.cat}}
{{index}} {{goods_show_value}}
-
IF:{{item.impact}}
Journal:{{item.journal}} ({{item.year}})
DOI:{{item.doi}}Reactivity:{{item.species}}
Sample Type:{{item.organization}}
-
Q{{(FAQpage.currentPage - 1)*pageSize+index+1}}:{{item.name}}

